Российские ученые из Пермского Политеха предложили новый метод диагностики, который с точностью до 89% определяет болезнь на ранних стадиях, еще до проявления симптомов.

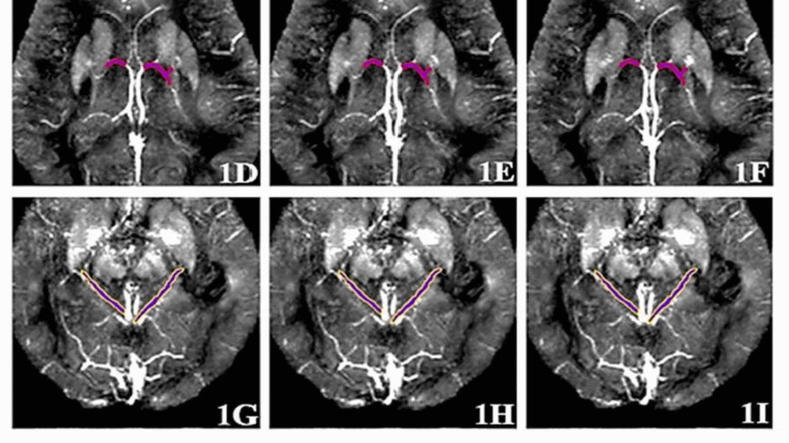
Томографические снимки вен головного мозга
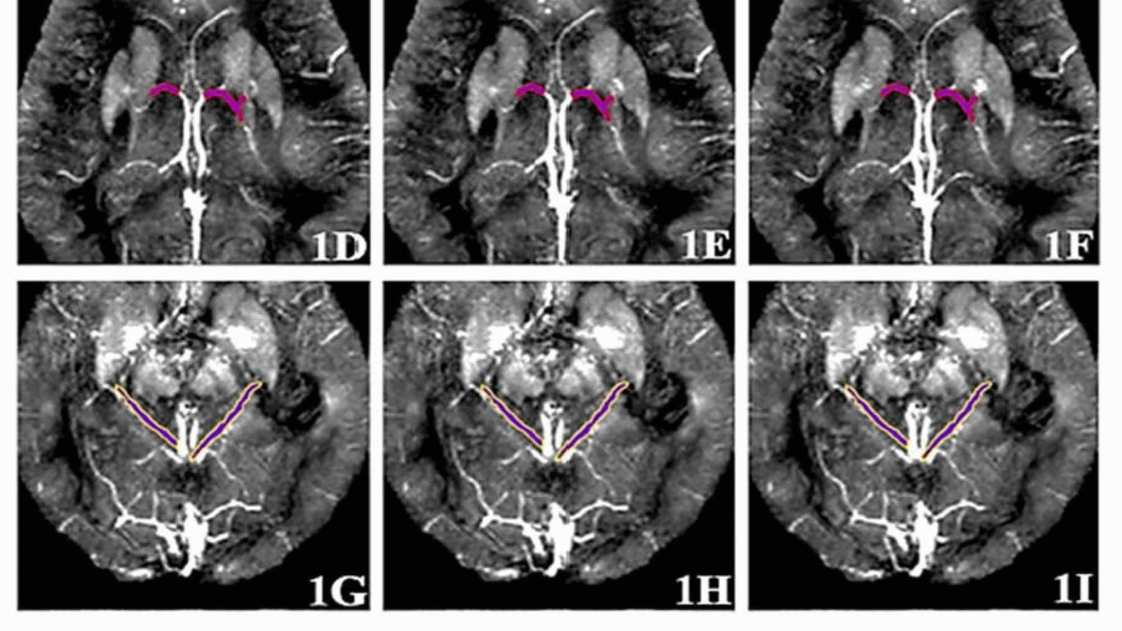
Томографические снимки вен головного мозга
Наш подход позволяет обнаружить болезнь на доклинической стадии, когда симптомы еще не проявились. В отличие от инвазивных способов, таких как биопсия, МРТ с контрастом минимально воздействует на организм.
Юлия Большакова, студентка факультета прикладной математики и механики

Метод основан на анализе магнитной восприимчивости шести вен головного мозга с помощью МРТ с контрастным усилением. Полученные данные обрабатываются алгоритмом машинного обучения — «деревом решений», которое классифицирует состояние пациента как здоровое (CON) или указывающее на болезнь Альцгеймера (AD).

На практике это выглядит следующим образом. Пациенту вводят контрастное вещество на основе гадолиния, которое усиливает сигнал МРТ, где человек проходит сканирование головного мозга. Далее специалисты измеряют магнитную восприимчивость в шести мозговых венах. Эти параметры дают важную информацию о состоянии кровеносных сосудов и уровнях кислорода, которые могут меняться при развитии болезни Альцгеймера.
Леонид Кожемякин, начальник отдела инноваций ПНИПУ, кандидат технических наук

Болезнь Альцгеймера остается одной из самых сложных медицинских проблем современности, поражая миллионы людей по всему миру. По данным ВОЗ, к 2050 году число пациентов с этим диагнозом может превысить 130 миллионов. Ключевая сложность — позднее выявление, когда лечение уже малоэффективно. На метод, разработанный исследователями ПНИПУ, уже получен патент. Стоит подчеркнуть, что последнее слово всегда остаётся за лечащим врачом, так как этот метод является вспомогательным и не заменяет собой профессиональную оценку ситуации.

Читайте ещё материалы по теме:

Учёные Пермского Политеха создали экологичный носитель для очистки сточных вод из отходов нефтепереработки

Облучили смолу: учёные Пермского Политеха выяснили, как радиация улучшает свойства полиэфирных смол

Ортез для реабилитации кисти после инсульта был разработан студенткой РТУ МИРЭА

Источники
Naked Science

Сейчас на главной

Полковник раскрыл стратегию применения Ту-22М3 и Ту-160 «Белый лебедь»
19 февр. 2026 г., 17:50:45
Полковник раскрыл стратегию применения Ту-22М3 и Ту-160 «Белый лебедь»

Анатолий Матвийчук: бомбардировщики дополняют ядерную триаду и действуют дистанционно

Новости Военная техника
Максим Борисов
Уголовное дело и люди под завалами: обрушилась крыша одного из цехов липецкого завода «Моторинвест»,  там собирают автомобили Evolute
19 февр. 2026 г., 17:17:54
Уголовное дело и люди под завалами: обрушилась крыша одного из цехов липецкого завода «Моторинвест», там собирают автомобили Evolute

Причиной обрушения могло стать большое скопление снега

Новости Авто «Моторинвест»
Алина Шруб
В России готовят гигантский заказ на «летающие Т-34» — дроны «Упырь»
19 февр. 2026 г., 16:54:13
В России готовят гигантский заказ на «летающие Т-34» — дроны «Упырь»

Минобороны оказалось довольно работой БПЛА повышенной грузоподъёмности

Новости Военная техника «Уралдронзавод»
Максим Борисов
Легендарный внедорожник получил светодиодную оптику: фото Lada Niva Legend засветилось в Сети
19 февр. 2026 г., 16:52:05
Легендарный внедорожник получил светодиодную оптику: фото Lada Niva Legend засветилось в Сети

Форма фар автомобиля осталась прежней

Новости Авто АвтоВАЗ
Алина Шруб
Мантуров гарантировал полную безопасность самолёта Ил-114-300
19 февр. 2026 г., 16:27:34
Мантуров гарантировал полную безопасность самолёта Ил-114-300

Вице-премьер РФ подчеркнул приоритет надёжности турбовинтового лайнера перед сроками поставок

Новости Авиация
Андрей Рудковский
Вертолёт Ка-52 назвали убийцей беспилотников
19 февр. 2026 г., 16:22:18
Вертолёт Ка-52 назвали убийцей беспилотников

Боевая машина только за один вылет сбила 25 дронов

Новости Военная техника
Андрей Рудковский
19 февр. 2026 г., 16:19:00
Увеличат ресурс излучателей в 2-3 раза: способ восстановления лазерных трубок в станках разработали в РТУ МИРЭА

Технология успешно прошла испытания

Новости Наука РТУ МИРЭА
Алина Шруб
«Волга» возвращается: легендарную марку начнут собирать в этом году
19 февр. 2026 г., 16:17:05
«Волга» возвращается: легендарную марку начнут собирать в этом году

Проект реализуют на заводе в Нижнем Новгороде, где раньше производили Skoda и Volkswagen

Новости Авто Volkswagen Geely АО «Производство легковых автомобилей» «Волга» Skoda
Олеся Михайлова
За рубежом видят угрозу в российских ракетах «воздух-воздух» Р-37М на истребителях Су-35
19 февр. 2026 г., 16:15:07
За рубежом видят угрозу в российских ракетах «воздух-воздух» Р-37М на истребителях Су-35

Business Insider: Новые ракеты превратили самолёт в опасного противника

Новости Военная техника
Андрей Рудковский
SJ-100 завершил сертификационные испытания в Сыктывкаре и вернулся в Жуковский
19 февр. 2026 г., 16:09:17
SJ-100 завершил сертификационные испытания в Сыктывкаре и вернулся в Жуковский

Экипаж провёл тесты аэродинамики и приёмников воздушного давления на высотах

Новости Авиация
Андрей Рудковский
РЖД не может содержать Рижский вокзал: объект продают на открытом аукционе
19 февр. 2026 г., 16:06:59
РЖД не может содержать Рижский вокзал: объект продают на открытом аукционе

Стартовая цена вокзала на торгах — 4 млрд рублей

Новости Финансы Транспорт РЖД
Алина Шруб
19 февр. 2026 г., 16:03:34
415 км на одной зарядке: аккумуляторы «Росатома» для «Москвича» прошли испытания и готовятся к выпуску

Серийное производство планируют запустить в этом году на гигафабрике в Красной Пахре

Новости Авто Москвич Росатом
Олеся Михайлова